
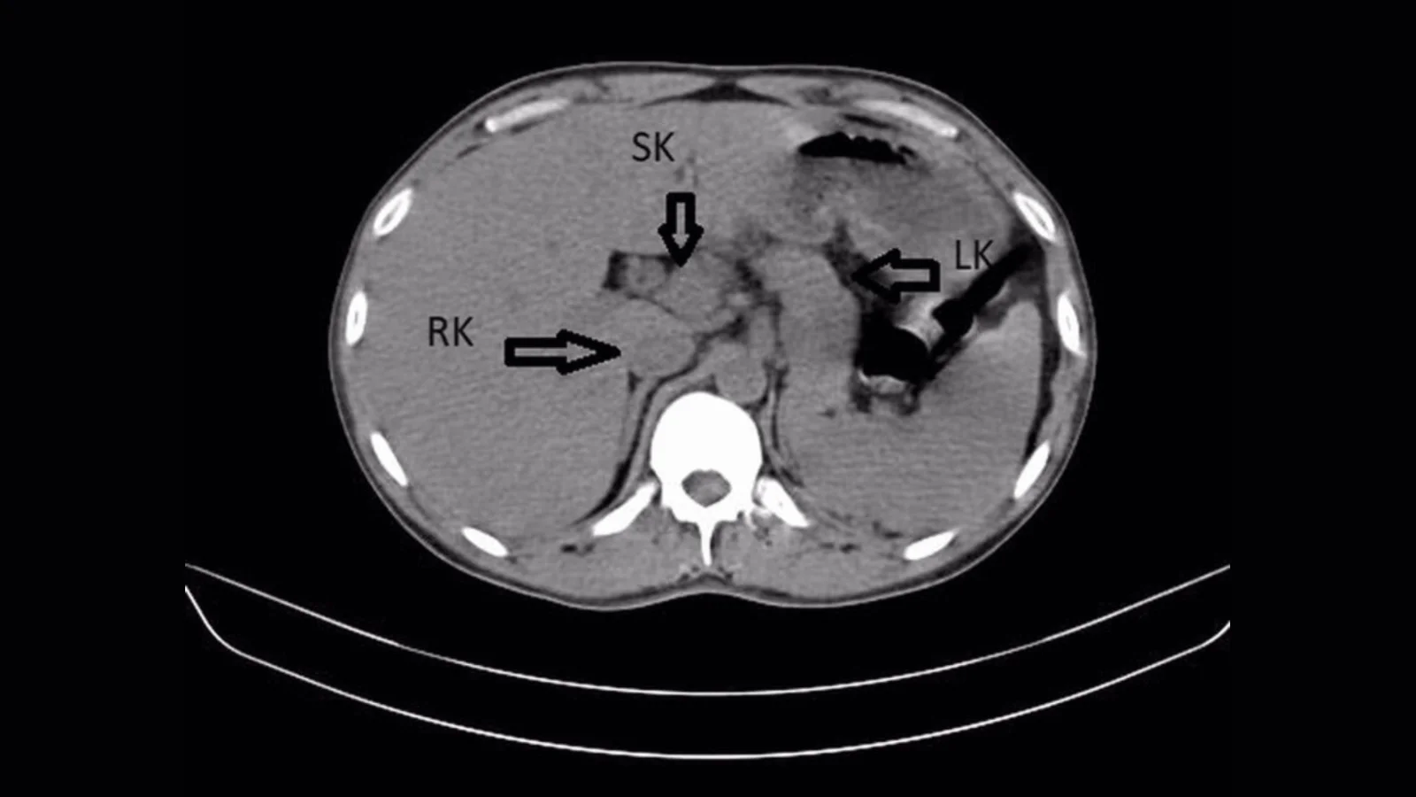
UTI investigation uncovers a rare third kidney
A 31-year-old man in Wardha, India, treated for a urinary tract infection was found to have a rare supernumerary (third) kidney fused to his right kidney on CT imaging. The congenital anomaly can be asymptomatic, but in this case the kidneys were swollen and there were stones in the left ureter. He received a ureteral stent and IV antibiotics; after 48 hours he improved and was discharged with follow-up. Supernumerary kidneys are exceedingly rare (fewer than 100 cases per year worldwide), and a fused horseshoe configuration is even more unusual.


