
Tuberculosis resurges in the UK, with the North East hardest hit
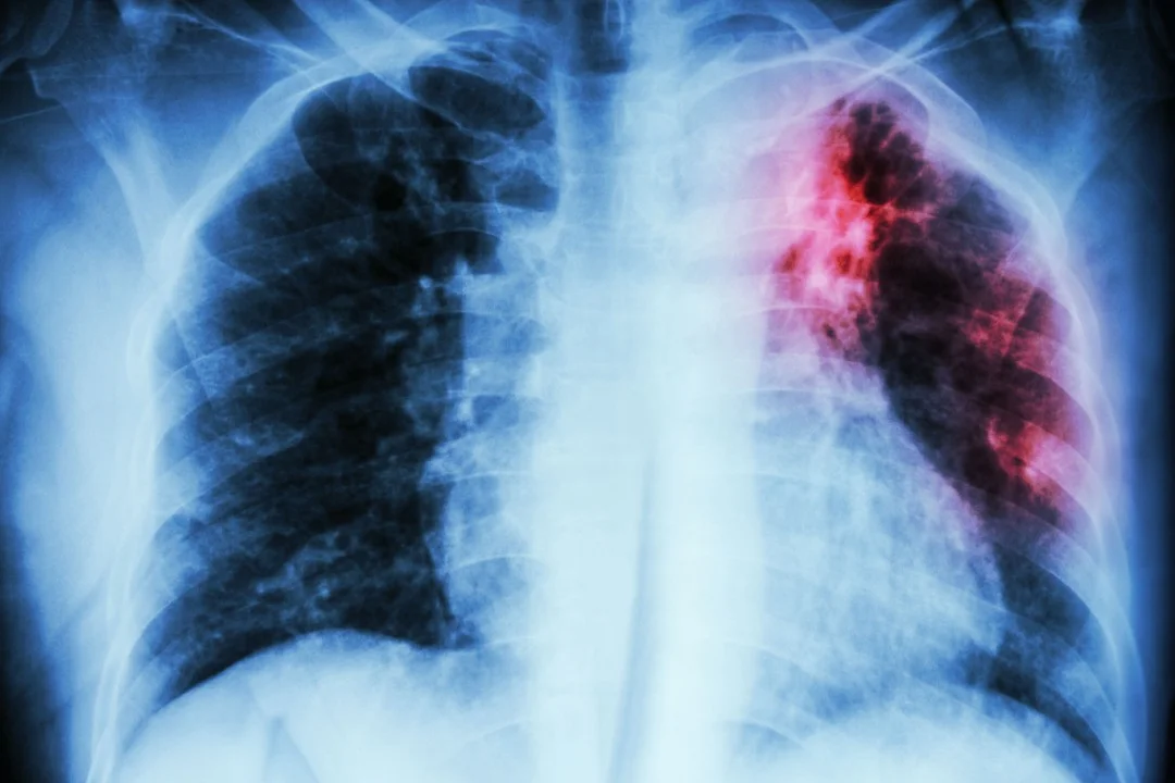
UK Health Security Agency data show tuberculosis cases rose in recent years, with 5,424 cases in 2025 (up 25% from 2022), though 2024 had the highest total at 5,480; the disease mainly attacks the lungs and is linked to poverty, with the North East seeing the strongest rise; 65 drug-resistant TB cases were reported; experts urge rapid diagnosis and treatment to curb spread, noting TB’s historic toll on figures like Emily Brontë and George Orwell.







